İnsan anatomisi

İnsan vücudu, her yapının kesin bir rol oynadığı karmaşık ve girift bir mühendislik parçasıdır. Yaklaşık 200 kemik, 650 kas, 79 organ ve Dünya'yı iki kez çevreleyecek kadar kan damarı var!
Tıp fakülteleri tipik olarak bu yapıların anatomisini yaklaşık bir akademik yılda öğretir. Bununla birlikte, insan anatomisi gerçekte neyi içerir?
| bölgesel anatomi | Vücudu tanımlanmış bölümlere ayırır: Üst ekstremite, alt ekstremite, gövde ve sırt, göğüs, karın ve pelvis, baş ve boyun, nöroanatomi |
| sistemik anatomi | Tanımlı sistemlerle vücudu değerlendirir: Deri, kas-iskelet, sinir, endokrin, dolaşım, solunum, sindirim, idrar, üreme, lenfatik sistemler |
| mikroskobik anatomi | Doku ve organların mikroskobik yapısını inceler |
Temel bilgiler ve terminoloji
Her şeyden önce, anatomi nedir ve her şey nerede başladı? 'Anatomi' terimi, 'diseksiyon' veya 'diseksiyon yapmak' anlamına gelen eski Yunancadan türemiştir ve insan vücudunun yapısının incelenmesini içerir. Bu 2000 yıllık bilimsel disiplin, Eski Mısır'da hayat buldu ve çağlar boyunca Galen, Leonardo da Vinci, Vesalius ve diğerleri gibi anatomi ağır sikletleri tarafından giderek daha fazla geliştirildi.
Böylesine karmaşık bir konuyu öğrenmek ancak küçük ve mantıklı adımlar atılarak gerçekleştirilebilir. Başlamak için en iyi yer neresidir? Yönler, hareketler, vücut düzlemleri ve genel anatomik terminoloji gibi temel konularda uzmanlaşarak .
Özetle, üç ana anatomik düzlem vücudu önden, yandan ve enine görünüşlere ayırır. Bu görüntüler, örneğin üst, alt, yanal ve diğerleri gibi kesin terimlerle tanımlanan anatomik yapılar arasındaki konumu ve ilişkileri gösterir. Hareketler ayrıca fleksiyon ve ekstansiyon gibi standart olarak kabul edilen terimlerle de tanımlanabilir. Bu kelime dağarcığı elimizdeyken, konuya daha derinden dalmanın ve öğrenme yaklaşımları hakkında daha fazlasını öğrenmenin zamanı geldi. İnsan anatomisi iki ana bölümden oluşur:
- Makroskopik veya brüt anatomi
- Mikroskobik anatomi
Bölgesel anatomi
Makroskopik veya kaba anatomiye bir göz atarak başlayalım. Adından da anlaşılacağı gibi bu dal, çoğunlukla çıplak gözle görülen büyük yapılarla ilgilenir. Bir bölgenin coğrafi haritasının belirli bir çevredeki tüm yer işaretlerini göstermesine benzer şekilde, her insan vücudu yapısının nerede bulunduğunu ( topografya ) açıklar. Sadece bu değil, aynı zamanda yapıların birbirine nasıl bağlandığını, başlangıç ve bitiş noktalarını, katmanlaşmalarını vb. Brüt anatomiyi incelemek için iki temel yaklaşım vardır: bölgesel ve sistemik.
Bölgesel anatomi, vücudu çeşitli vücut bölümlerine veya bölgelerine göre düzenler: üst uzuvlar, alt uzuvlar , gövde ( göğüs, karın, pelvis, sırt ), baş ve boyun. Bu yaklaşım, öğretme ve öğrenmeyi, her biri ilgili kemiklerini, eklemlerini, kaslarını, arterlerini, damarlarını, sinirlerini, lenfatiklerini ve organlarını içeren ayrı bölgesel didaktik alanlara ayırır . Tüm bu bölgelere bir göz atalım ve her biri hakkında bazı temel bilgileri öğrenelim.
Üst uzuv
Ekstremiteler, çevre ile etkileşimden sorumlu yapılar, hareket, ağırlık taşıma ve daha pek çok şey hakkında konuşarak başlayalım. Üst ekstremite dört ana bölümden oluşur: omuz, kol, ön kol ve el. Buna karşılık, uzvun hareketliliği, çeşitli kasların üzerine oturduğu omuz, dirsek ve bilek eklemleri tarafından sağlanır. Bununla birlikte, eylemleri innervasyona ve uygun beslenme ve kan temini üzerindeki canlılıklarına bağlıdır. Kanınız alınırken iğnenin açtığı damarın adını biliyor musunuz? Dirseklerinize uzun süre yaslandığınızda karıncalanmalara yol açabilen sinirin adına ne dersiniz?
Alt ekstremite
Alt ekstremitenin kalça, uyluk, bacak ve ayak adı verilen dört ana bölümü vardır. Esneklik, dans pistinde tekme atmanıza, zıplamanıza, çömelmenize ve sallamanıza izin veren kalça, diz ve ayak bileği eklemleri tarafından sağlanır. Alt ekstremite, çeşitli bölmeler halinde düzenlenmiş insan vücudundaki en güçlü kaslardan bazılarını içerir. Femoral arter ve insan vücudundaki en uzun sinir olan siyatik siniri gibi önemli damarlar bu uzvu besler.
Gövde ve geri
Üst ve alt uzuvlar, genellikle gövde olarak bilinen gövde adı verilen anatomik bir yapıya bağlıdır. Gövde göğüs, karın, pelvis ve sırt adı verilen birkaç bölgeden oluşur. Sırtın ortasından geçen, omuriliği içeren vertebral kolondur. Trapezius, latissimus dorsi gibi büyük sırt kasları ve eşkenar dörtgenler ile daha derin, daha küçük olanlar vertebral kolonun çeşitli noktalarına bağlanır. Sırt kasları duruşunuzu korumanıza, gövdenizi bükmenize, kollarınızı hareket ettirmenize, omuz silkmenize ve çok daha fazlasına yardımcı olur.
Büyük karın kasları, örneğin rektus abdominis de gövdeye katkıda bulunur. Bu, birçok fitness tutkununun çabaladığı ünlü "altılı paket"tir.
Göğüs
Önceki bölümde, üçü göğüs , karın ve pelvis olmak üzere gövdeyi oluşturan bölgeleri öğrenmiştik. Her birini çok kısaca tartışalım. Muhtemelen 'kalbim göğsümden atıyor' ifadesini duymuşsunuzdur . Ancak, göğüs nedir? Anatomi dünyasında göğse toraks denir ve boyun ile karın arasında yer alır. Bu bölge, dolaşım sisteminin merkez üssü ve nefes almadaki birincil oyuncu olarak kabul edilebilir , son işlev esas olarak diyafram tarafından kontrol edilir. Göğüs duvarı iç içeriği korur ve ayrıca göğüsleri destekler .
Göğüs kafesi, dışı kadar içi de karmaşıktır. Dahili olarak, her şeyden önce akciğerleri barındıran göğüs boşluğundan oluşur. Bu iki hayati organ plevra adı verilen zarlarla çevrilidir ve solunumdan sorumludur. Toplamda, akciğerler bir tenis kortunun büyüklüğüne eşdeğer bir yüzey alanı kaplar. Akciğerler arasına sıkıştırılmış mediasten , kan damarlarını, sinirleri, lenfatikleri ve en önemlisi kalbi içeren bir boşluktur. Bu hayati organ, perikard adı verilen bir kese içinde bulunur ve uyanık olduğunuz günün her dakikasında tüm vücuda 5 litre kan pompalar.
Karın ve pelvis
Göğüs kafesinin altından devam ederek karın ve pelvis ile karşılaşıyoruz. Bu iki bölge genellikle didaktik amaçlar için ayrı ayrı öğretilir, ancak içerikleri tek bir büyük abdominopelvik boşlukta birleşir . Dahili olarak, birçok yapının etrafını saran ve onları intraperitoneal yapan periton adı verilen bir zarla kaplıdır. Membranın dışında bulunanlara ekstraperitoneal denir. Burada bulunan en büyük organ sistemi gastrointestinal sistemdir. Esas olarak emilimden sorumlu olan bağırsaklar, bu bölgelerden salyangoz gibi geçerek toplam 7,5 metre boyunca üst üste dizilmiş dört insana eşdeğerdir.
Gastrointestinal sistemin fonksiyonlarını yerine getirmesine yardımcı olan dört yardımcı organ abdominopelvik boşlukta bulunur. Bunlar karaciğer, safra kesesi, pankreas ve dalaktır. Özellikle proteinlerin ve yağların sindiriminin yanı sıra metabolik işlemeye yardımcı olurlar.
Karın ve pelvisin mide - bağırsak sistemiyle aşırı dolu olduğunu düşünmek kolaydır, ancak daha da fazlası var! Böbrekler, üreterler , mesane gibi organlar ve kadın ve erkek üreme organları da burada bulunur. Atıkları ortadan kaldırmanızı, stresli veya korkutucu durumlara tepki vermenizi ve üremenizi sağlamak için uyum içinde çalışan sistemler bütünü oluştururlar.
Karnınız ve pelvisiniz, vücudun en büyük kan damarlarının bazılarının evidir. Ana organları ve hatta daha uzak organları besledikleri için litrelerce kan taşıyan büyük kalibreli yapılardır. Örneğin, travmatik bir olay sırasında aort veya renal arterden biri yırtılırsa, kişi birkaç dakika içinde ölecektir. Bu bölgelerde abdominopelvik organların aktivitesini kontrol eden ve ağrı hissetmenizi sağlayan önemli sinirler de bulunabilir.
Kafa ve boyun
Uzuvlara ek olarak, gövdeden uzanan ve mükemmel bir uyum içinde çalışan iki bölge daha vardır; beyni de içeren beş kilogramlık bir kafayı destekleyen güçlü ve hareketli bir boyun. Hayati sinirler ve kan damarları, baş ve vücudun geri kalanı arasında seyahat ederken boyundan geçer, bu nedenle bu bölgelere hakim olmak önemlidir.
Artık bazı temel bilgileri öğrendiğimize göre, kafaya odaklanalım. Kemikli kafatasını veya kranium'u oluşturan ve bir kısmı beyni çevreleyen ve bir kısmı yüz iskeletini oluşturan birkaç kemiğin bir araya gelmesinden oluşur. Kafa, gözler, burun, kulaklar ve ağız gibi birkaç ilişkili yapıya sahiptir. Görme, koku alma, duyma, yeme ve konuşma gibi çeşitli işlevleri vardır.
Ağladıktan sonra neden burun damlası tadı alabildiğinizi veya neden burnunuzu sümkürdüğünüzü biliyor musunuz? Bunun nedeni, daha önce bahsedilen yapılardan bazılarının doğrudan birbirleriyle iletişim kurmasıdır. Nasıl olduğunu öğrenmek için okumaya devam edin!
Boyun , baş ile göğüs arasında bir geçit görevi görür. Burun ve ağız boşlukları, yaygın olarak boğaz adı verilen farinks tarafından devam ettirilir. Bu kaslı geçiş sıvıların, yiyeceklerin ve havanın sırasıyla nefes borunuza ( trakea ) ve yemek borunuza ( yemek borusu ) doğru hareketini kolaylaştırır . Boyun, yutağa ek olarak birçok kıkırdak, kas, organ, kan damarı ve siniri de barındırır. Önemli yapılar arasında gırtlak ( ses kutusu ), tiroid bezi , hyoid kaslar, karotis arterler, juguler damarlar ve servikal pleksus bulunur .
Nöroanatomi
İnsan vücudunun her bölgesinin anatomisini bilmek esastır. Bununla birlikte, beyin bir hareket üretmek veya nesneleri algılamak için diğer bölgelerle, örneğin el ile nasıl iletişim kurar? Sinirler aracılığıyla, nöroanatomi ile açıklanan bir kavram . Sinir sistemi, insan vücudunun her işlevini kontrol eder. Örneğin, vücut ısısı, istemli hareketler gibi fizyolojik süreçlerde ve bilinç ve duygusal davranış gibi üst düzey düşünmede yer alır.
Sinir sisteminin merkezi ve çevresel olmak üzere iki yapısal bölümü vardır. Merkezi sinir sistemi ( MSS ), meninks adı verilen tabakalarla korunan ve beyin omurilik sıvısı ile yıkanan beyin ve omurilikten oluşur. Beyin, vücudun ana düzenleyicisidir ve dört ana bölümden oluşur: serebrum, subkortikal yapılar , beyin sapı ve beyincik. Serebrum beş loba bölünmüştür ve bilişten sorumlu olan insan beyninin en büyük bölümünü oluşturur.
Ancak beynin her bölümü eşit derecede önemlidir. Bir hastayı 'bitkisel hayatta' ya da komadayken hayatta tutan ana kahramanı biliyor musunuz? Serebrum işlevsiz olduğundan, yalnızca beyin sapıdır.
Omurilik , beyin sapının vertebral kolondan geçen devamıdır. Servikal, torasik, lomber, sakral ve koksiks adı verilen beş bölgeden oluşur . Spinal sinirler , omurilikten omurilikten çıkar ve çevreye sinir uyarıları taşır. Beyin ve omurilik, trakt adı verilen nöral yollar aracılığıyla iletişim kurar. Yükselen yollar çevresel bilgiyi beyne doğru taşırken, azalan yollar bilgiyi beyinden aşağı taşır.
Periferik sinir sistemi ( PNS ), CNS dışında bulunan tüm nöral dokuları ifade eder. 12 çift kraniyal sinir, daha önce bahsedilen 31 çift omurilik siniri ve bunların tüm dallarından oluşur . PNS, insan vücudunun her bir anatomik yapısına ulaşır ve onları innerve eder.
Gördüğünüz gibi, insan vücudunun bölgeleri son derece karmaşıktır. Baş, yukarıdan başlayarak, duyusal yapılar aracılığıyla bilgi toplamanıza izin verir, ancak yalnızca beyin, sinir sistemi aracılığıyla her şeyi entegre eder ve kontrol eder. Baş, göğüs kafesine gidip gelen yapılar için bir geçiş yolu sağlayan boyun üzerinde durmaktadır. Boynun altında göğüs, karın, pelvik ve sırt bölgelerinden oluşan gövde bulunur. Gövde vücudu destekler, hareketleri kolaylaştırır ve ilgili boşlukların içinde bulunan iç organlar, kan damarları ve sinirler gibi çeşitli anatomik yapıları korur. Bir insan olarak işlev görmenize, hareket etmenize, çevrenizle etkileşime girmenize ve daha pek çok şeye izin veren iki üst ve alt uzuv ona bağlı.
Sistemik anatomi
Vücudumuzu ayrı bölgelere ayırarak bölgesel anatomiyi ele aldık. Bununla birlikte, insan vücudu da birden fazla bölgeye yayılan ve birçok anatomik yapıdan oluşan fizyolojik sistemlerden oluşur. İnsan anatomisinin ikinci dalı olan sistemik anatomi, vücudu ortak bir amaç veya işleve doğru birlikte çalışan ayrı organ sistemlerine ayırır. On sisteme; deri, kas - iskelet ( iskelet, kas ), sinir, endokrin, dolaşım, solunum, sindirim, idrar, üreme ve lenfatik denir.
Önceki muadilinin aksine, sistemik yaklaşım, çalışmayı konumlar veya yakınlık yerine belirli işlevlerle ilgili alanlara ayırır. Bu yaklaşım, anatomiyi daha fizyolojik bir bakış açısıyla ele alır ve bir vücut işlevini birlikte gerçekleştiren yapıları inceler. Örneğin sinir sistemi, beyinden alt uzuvlara kadar farklı bölgelere yayılan vücuttaki tüm sinirleri kapsar.
Örtü sistemi
Örtü sistemi , deri ve saç folikülleri, tırnaklar, ter bezleri ve yağ bezleri gibi ilişkili uzantılarından oluşur. Koruma, dokunma ve termal duyumların yanı sıra terleme yoluyla sıcaklık düzenlemesi gibi çeşitli işlevlerde yer alır.
Kas-iskelet sistemi
İnsan vücudundaki 200 kemik, bir iskele görevi görerek destek, koruma sağlar, hareketi kolaylaştırır ve hatta çeşitli hücre ve maddeleri depolar. Kemikler, kasların üzerinde hareket ettiği kasnak sistemleridir, ikincisi kasılıp gevşeyebilir ve sonuçta hareket üretebilir.
Sinir sistemi
Sinirler, beyin, omurilik, duyularımız ve her periferik anatomik yapı arasındaki iletişime izin veren elektriksel uyarıların taşınmasından sorumludur. Bu iletişim, insanların çevreleriyle etkileşime girmesine, duyguları hissetmesine, düşünmesine ve diğer birçok karmaşık bilişsel görevi yerine getirmesine olanak tanır.
Endokrin sistem
Endokrin sistem, hormon adı verilen maddeleri kan dolaşımına salan bezlerden oluşur. Bu hormonlar, anatomik yapılar arasında kimyasal iletişime izin vererek, hedeflerine ulaştıklarında çeşitli düzenleyici etkilere neden olurlar.
Kan dolaşım sistemi
Dolaşım sistemi , insan vücudunun her yerine oksijenli, arteriyel kan sağlayarak bizi hayatta tutmaktan sorumludur. Anahtar oyuncu, oksijenli kanı arterlere pompalayan ve daha sonra oksijeni giderilmiş kan olarak damarlar yoluyla kalbe geri dönen bir organ olan kalptir.
Solunum sistemi
Solunum sisteminin temel işlevi, oksijeni soluyarak ve karbondioksiti ortadan kaldırarak bizi hayatta tutmaktır. Akciğerler ve alveoller, bir dizi kıvrımlı hava geçişi ve zarı içeren gaz alışverişi bölgesini temsil eder.
Sindirim sistemi
Sindirim sistemi aslında birkaç organdan oluşan iki açıklığı olan içi boş bir sistemdir. Besinler ağız yoluyla alınır, işlenir ve sistem içinde emilir ve ortaya çıkan dışkı adı verilen katı atıklar anüs yoluyla atılır.
İdrar sistemi
İdrar ( boşaltım ) sistemi, kanın temizlenmesinden ve atıkların ortadan kaldırılmasından sorumlu olan insan vücudunun ana filtreleme birimidir. Kanın tamamı sürekli olarak böbreklerden geçirilir ve ortaya çıkan istenmeyen veya toksik maddeler mesaneye iletilir ve sonunda üretra yoluyla atılır.
Üreme sistemi
Üreme sisteminin temel sorumluluğu, yeni yavruların oluşmasını kolaylaştırmak ve genlerimizi aktarmaktır. Dişi sistem yumurtaları üretir ve gelişmekte olan fetüsü doğuma kadar beslerken, erkek sistem spermi sentezler ve döllenmeye yardımcı olmak için yumurtaya doğru gönderir.
Lenf sistemi
Lenfatik sistem interstisyel sıvının dokulardan uzaklaştırılmasında, emilen yağların sindirimden sonra taşınmasında ve korunmada görev alır. Bağışıklık hücreleri ve maddeler, lenfatik sistem yoluyla hareket ederek, herhangi bir potansiyel istilacı için lenf örneği alır ve gerekirse bir bağışıklık tepkisi oluşturur.
Pek çok sistem var, bu yüzden bunları hızlı bir şekilde özetleyelim. Örtü sistemi tüm vücudu kaplar, onu hasardan korur ve vücut ısısını düzenler. İskele, üzerinde kasların hareket ettiği ve sonuçta hareketi kolaylaştıran iskelet sistemi tarafından sağlanır. Sinir ve endokrin sistemler ve hormonlar sırasıyla neredeyse her şeyin aktivitesini sinirler aracılığıyla kontrol eden ana düzenleyicilerdir.. Solunum ve dolaşım sistemleri nefes almayı kolaylaştırarak ve vücuda kan pompalayarak bizi hayatta tutarken, sindirim sistemleri beslenmemizi sağlar. Ortaya çıkan atıklar, üriner sistem tarafından vücuttan uzaklaştırılır ve atılır. Son olarak, üreme sistemi insanlığın neslinin tükenmesini engellerken, lenfatik sistem lenfleri taşır ve mikroorganizmalardan korunmada rol oynar.
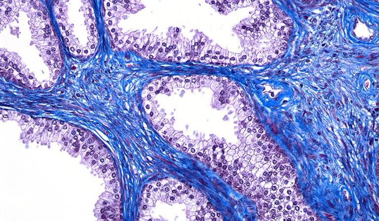
Mikroskobik anatomi
Şimdiye kadar, insan vücudunun makroskobik veya büyük yapılarıyla ilgilenen kaba anatomiyi tartıştık. Ancak, yapıların çıplak gözle görülemeyecek kadar küçük olduğu mikroskobik düzeyde ne olur? İnsan anatomisinin ikinci dalı olan mikroskobik anatomi , dokuların ve bunların organlara ve organ sistemlerine organizasyonunun incelenmesidir. Anatominin bu alt bölümü, mikroskobik arterler, damarlar, kılcal damarlar ve sinirler gibi çıplak gözle zar zor görülebilen yapılarla ilgilendiğinden, mikroskopların büyütme gücünden yararlanır .
Mikroskobik anatomi ve histoloji genellikle birbirinin yerine kullanılır, ancak oldukça farklıdırlar. Histoloji, hücre içi bileşenlerden hücrelere ve organlara kadar her seviyedeki dokuların yapısı ve organizasyonu ile ilgilenen çok daha geniş bir kapsama sahiptir. Buna karşılık, mikroskobik anatomi, yalnızca 'mikroyapılar' ve dokuların organlara dönüşmesi ile ilgilenen daha dar bir kapsama sahiptir. Bağlama oturtmak için iskelet kası motor ünitesi örneğini kullanalım . Mikroskobik anatomi, iskelet kasını fasiküller ve sonraki liflerden, nöronlar ise aksonlardan oluşan olarak tanımlar. Bununla birlikte histoloji, liflerin iç yapısı da dahil olmak üzere her birinin çok daha fazlasını açıklar. Kas hücresi , aksonların yanı sıra çekirdeklerin görünümü vb.




















:max_bytes(150000):strip_icc():format(webp)/human-body-systems-illustration-944672566-5c45045946e0fb0001b18c41.jpg)

:max_bytes(150000):strip_icc():format(webp)/muscles-anatomy-58545dc85f9b586e02f71781.jpg)








(258).jpg)

:max_bytes(150000):strip_icc():format(webp)/human-muscles-and-tendons-covering-anatomical-model-166835830-5c44fd4ac9e77c0001a26ea5.jpg)
:max_bytes(150000):strip_icc():format(webp)/the-nervous-system-186449630-5c44fdd0c9e77c0001a28bc5.jpg)
:max_bytes(150000):strip_icc():format(webp)/female-hormone-system-680801813-5c44fc8b46e0fb00014e51bc.jpg)
:max_bytes(150000):strip_icc():format(webp)/illustration-of-cardiovascular-system--female--145063210-5c44fc1546e0fb0001544164.jpg)
:max_bytes(150000):strip_icc():format(webp)/human-respiratory-system--artwork-165564583-5c450348c9e77c0001caf949.jpg)
:max_bytes(150000):strip_icc():format(webp)/human-digestive-system-109726818-5c44fc34c9e77c0001f09322.jpg)

:max_bytes(150000):strip_icc():format(webp)/illustration-showing-cross-section-of-male-and-female-reproductive-system-organs-82844939-5c4500c6c9e77c0001f18c7c.jpg)

















